wersje językowe
PL
ENG
DE
HOME
TRÓJWYMIAR
GABINETY
OFERTA
HITY
IMPLANTY
NARKOZY
CHIRURGIA
ZESPÓŁ
CENNIK
KONTAKT
REJESTRACJA NFZ
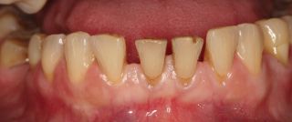
Przerwa między zębami
Przed Po